Mandibular Tori: Causes, Symptoms, Removal Process and Pictures
Mandibular tori, also known as torus mandibularis, are bony growths in the lower jaw. They are not dangerous but can cause discomfort and interfere with daily activities. This article will explore the causes, symptoms, complications, and removal process of mandibular tori. By the end, you will have a clear understanding of this condition and what to do if you or a loved one experiences it.
Summarize This Article on ChatGPT or Gemini
Table of Contents
Mandibular Tori or Torus Mandibularis
Mandibular tori are bony lumps that form on the inner side of the lower jaw, near the tongue. Tori can bob up one or both side of the jaw. These growths are typically benign, meaning they are not cancerous. They are made of dense, compact bone and can vary in size. Some people may have small, barely noticeable tori, while others may have larger growths that cause more issues.
Tori can develop at any age, but they are more common in adults. They often grow slowly over time and may not cause any problems. However, if they become large, they can interfere with normal functions like eating and speaking. In some cases, they can make it difficult to wear dentures or other dental appliances.
Causes of Mandibular Tori
We still can’t pin-point the exact cause of mandibular tori till date. But there some factors which can cause it, so let’s take a look at them:
- Genetics: Family history plays a significant role. If your parents or grandparents had tori, you might be more likely to develop them as well.
- Jaw Stress: Frequent grinding or clenching of the teeth can put stress on the jawbone. This stress might stimulate bone growth, leading to the formation of tori.
- Diet: Some studies suggest that diets high in calcium may contribute to the development of tori. This is because calcium is essential for bone growth.
- Age: Tori are more common in adults and can develop as you age.
- Gender: Men are slightly more likely to develop tori than women.
Symptoms of Mandibular Tori
Many people with mandibular tori do not experience symptoms. However, whenever they are noticeable, we see below symptoms:
- Bumps in the Mouth: The most obvious symptom is the presence of hard, bony lumps on the inner side of the lower jaw.
- Discomfort: Large tori can cause discomfort, especially when eating or speaking.
- Irritation: The tori can become irritated by certain foods or dental appliances.
- Difficulty with Dental Appliances: Tori can make it difficult to fit dentures or other dental appliances properly. This can lead to discomfort and poor fit.
- Mouth Ulcers: In some cases, the tori can cause mouth ulcers if they rub against the soft tissues inside the mouth.
Complications and Risk Factors of Mandibular Tori
While mandibular tori are generally harmless, they can lead to some complications and pose certain risks:
- Dental Issues: Tori can interfere with dental procedures. They can make it difficult to take dental impressions or fit dentures.
- Infection: Although rare, tori can become infected if they are irritated or damaged.
- Speech Problems: Large tori can affect speech. They can interfere with the movement of the tongue, making it hard to pronounce certain words.
- Eating Difficulties: Tori can make it uncomfortable to eat, especially hard or crunchy foods.
- Trauma: The tori can be prone to trauma from accidental bites or impacts.
Removal Process of Tori
Most mandibular tori do not need treatment unless they cause significant problems. However, if removal is necessary, the process usually involves the following steps:
- Consultation: The first step is to visit a dentist or oral surgeon. They will examine the tori and discuss your symptoms and medical history.
- Imaging: Your dentist may take X-rays or other images to get a better look at the tori and plan the surgery.
- Preparation: Before the surgery, you will receive preparation instructions, which may include fasting or discontinuing certain medications.
- Anesthesia: The removal procedure is usually done under local anesthesia. This means you will be awake but won’t feel pain in the area.
- Surgery: The oral surgeon will make an incision in the gum to access the tori. They will then use special tools to remove the bony growths.
- Stitches: After removing the tori, the surgeon will stitch the gum back together. The stitches will either dissolve on their own or be removed later.
- Recovery: Recovery time varies but usually takes a few weeks. During this time, you will need to follow post-surgery care instructions. This may include eating soft foods, taking pain medication, and keeping the surgical area clean.
- Follow-up: You will have follow-up appointments with your dentist or surgeon to monitor your healing and address any issues.
End Note
Mandibular tori are bony growths in the lower jaw that can cause discomfort and interfere with daily activities. While they are generally harmless, they can pose some risks and complications. Understanding the causes and symptoms can help you recognize this condition early. If necessary, a straightforward surgical procedure can remove the tori and alleviate symptoms. Always consult with a healthcare professional if you suspect you have mandibular tori or if they are causing problems. With the right care and treatment, you can manage this condition effectively.
FAQs about Mandibular Tori Removal
What to expect after mandibular tori removal?
After mandibular tori removal, you can expect some swelling and discomfort in the treated area. Your dentist will likely prescribe pain medication to manage this. It’s common to have a soft diet for a few days and avoid strenuous activities to aid healing. Follow-up appointments will ensure proper recovery and to check for any complications.
How painful is tori removal surgery?
Tori removal surgery is typically performed under local anesthesia, so you shouldn’t feel pain during the procedure. Post-surgery, you may experience discomfort and swelling, which can be managed with prescribed pain medications and ice packs. Most patients find the pain to be manageable and subsides significantly within a few days.
What are the side effects of mandibular tori surgery?
Side effects of mandibular tori surgery can include swelling, bruising, and mild to moderate pain. There may also be a temporary impact on your ability to chew and speak comfortably. In rare cases, there could be infection or delayed healing. Your dentist will provide guidelines to minimize these risks and ensure a smooth recovery.
Can mandibular tori cause cancer?
Mandibular tori are benign bone growths and are not cancerous. They are generally harmless and do not increase your risk of developing cancer. However, any unusual growths or changes in your mouth should be evaluated by a dentist to rule out other conditions.
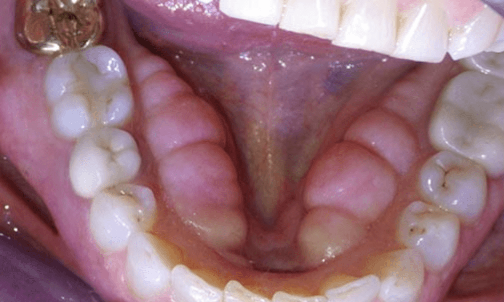
Mandibular Tori Pictures
Mandibular tori are bony growths that appear on the inner surface of the lower jaw. These growths are typically harmless and vary in size and shape. In the pictures provided below, you can observe the different presentations of mandibular tori. These images will help you recognize what mandibular tori look like and understand their typical appearance. If you notice similar growths in your mouth, it’s advisable to consult a dentist for a professional evaluation.




